with Prof. Javaid A Khan

1 / 8

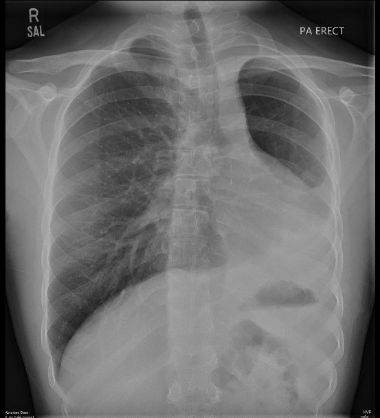
22 years old female medical student with recurrent cough since childhood:

Question Image

2 / 8

A 34-year-old textile worker presented with fever, cough, and weight loss of 5 kg in 3 months. Upon arrival in emergency, he was short of breath and oxygen saturation was 75% on room air.

Name two laboratory tests done in this case, which helped us diagnose this case within 24 hours.

Question Image

3 / 8

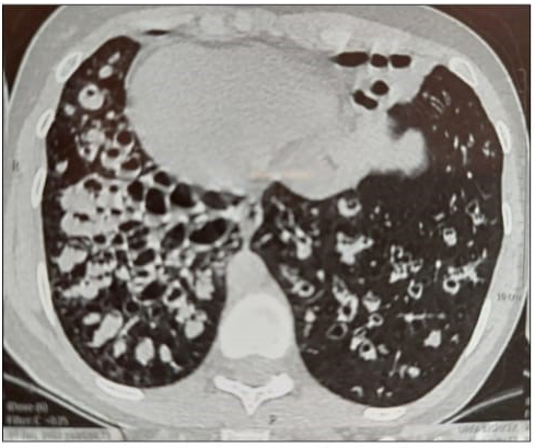
A 23-year-old student with chest pain for 2 months. What is the diagnosis?

Question Image

4 / 8

This 23 year old university student underwent left lung pneumectomy for large haemoptysis . He presented two years later with cough for one week and sore throat.

What is the abnormality seen on this chest Xray?

Question Image

5 / 8

As per GOLD guidelines 2023, COPD as been defined as ___________ lung condition characterized by chronic respiratory symptoms.

6 / 8

The initial pharmacological treatment chart in GOLD Guidelines 2023 comprises of 3 segments namely A,B and E in which:

7 / 8

GINA guidelines 2022 recommend using ___________ as an add on treatment for Asthmatic patients falling in STEP-5

8 / 8

As per GOLD Guidelines 2023, COPD-G has been defined as genetically determined COPD whereas COPD-L has been defined as COPD due to abnormal lung development.